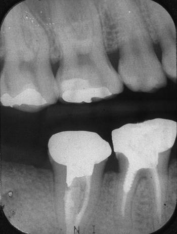
What’s A Root Canal?

It’s amazing how much people hear root canals and get nervous. While it has certainly been associated with some rather negative connotations, a root canal is a very important …
Get Connected

Get In Touch

We are here to answer your questions and help you schedule your next visit.

Contact Information

Fill out the form or reach out to us directly through the following channels.

Office Hours

Mon – Fri: 8am – 5pm
Sat, Sun: Closed

  • This field is for validation purposes and should be left unchanged.
  • Please use this form for general information purposes only. DO NOT send personal health information through this form. Specific patient care must be addressed during your appointment.
    By providing my phone number, I consent to receive SMS text messages for appointment reminders, marketing messages, and general two-way communication. Msg frequency varies. Msg&data rates may apply. Reply HELP for support. Reply STOP to opt out. Privacy Policy | Terms and Conditions
Call Us Text Us

Accessibility Tools

Increase TextIncrease Text
Decrease TextDecrease Text
GrayscaleGrayscale
Invert Colors
Readable FontReadable Font
Reset